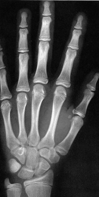
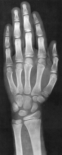
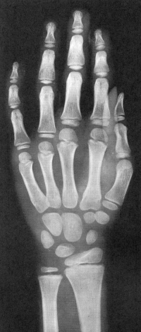
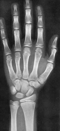
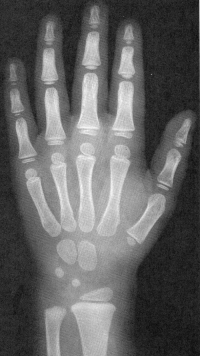
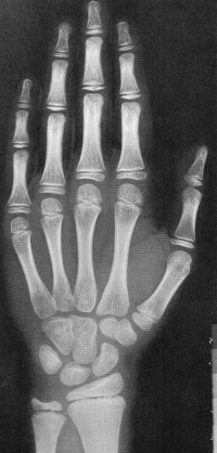
Sexo Masculino

Recém-Nascido

idade óssea - RN

 

3 meses

idade óssea - 3m

 

6 meses

 

9 meses

 

1 ano

 

1 ano e 3 meses

 

1 ano e 6 meses

 

2 anos

 

2 anos e 8 meses

 

3 anos

 

3 anos e 6 meses

 

4 anos

 

4 anos e 6 meses

 

5 anos

 

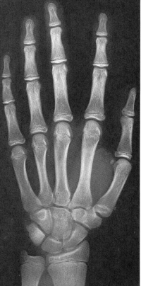
6 anos

 

7 anos

 

8 anos

 

9 anos

 

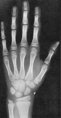
10 anos

 

11 anos

 

11 anos e 6 meses

 

12 anos e 6 meses

 

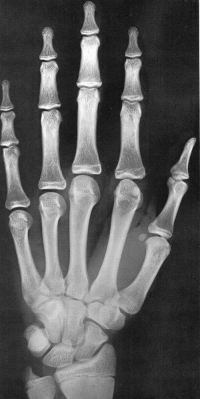
13 anos

 

13 anos e 6 meses

 

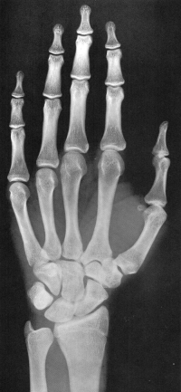
14 anos

 

15 anos

 

15 anos e 6 meses

 

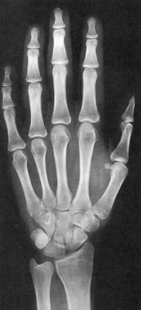
16 anos

 

17 anos

 

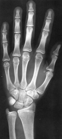
18 anos

 

19 anos

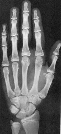
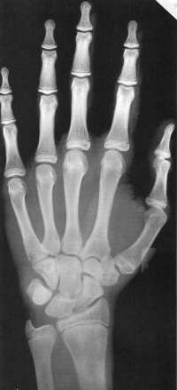
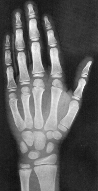
Sexo Feminino

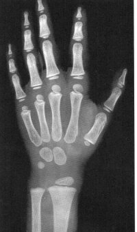
Recém-Nascido

 

3 meses

 

6 meses

 

9 meses

 

1 ano

 

1 ano e 3 meses

 

1 ano e 6 meses

 

2 anos

 

2 anos e 6 meses

 

3 anos

 

3 anos e 6 meses

 

4 anos e 2 meses

 

5 anos

 

5 anos e 9 meses

 

6 anos e 10 meses

 

7 anos e 10 meses

 

8 anos e 10 meses

 

10 anos

 

11 anos

 

12 anos

 

13 anos

 

13 anos e 6 meses

 

14 anos

 

15 anos

 

16 anos

 

17 anos

 

18 anos

 

 

Fonte: GREULICH, W.W. & PYLE, S.I.: Radiografic Atlas of Development of the Hand and Wrist. Stanford University Press, 2° edition, 1959.